Onze slaap gaat door vijf fasen in een cyclus van ongeveer 90 minuten. Elke nacht doorlopen we 4-6 van die cycli achter elkaar. Hoe lang je in elke fase blijft, verandert gedurende de nacht vordert. Zo is er in het begin van de nacht meer diepe slaap en tegen de ochtend meer droomslaap.
Laten we deze slaapfasen even vlug doornemen:
De slaapfasen kunnen onderverdeeld worden in Non-REM (NREM, fasen 1 t/m 4) en REM slaap.
Deze indeling is gebaseerd op wat voor soort hersengolven dan actief zijn, de hoeveelheid oogbeweging, je hartslagfrequentie en hoe actief je spieren zijn. Deze metingen samen worden polysomnigrafie genoemd.
Slaapfasen
- Eerste fase (NREM1): De hersenactiviteit neemt af in verhouding tot haar activiteit wanneer we wakker zijn. Dit is het moment dat we in slaap vallen, wat ongeveer 5 tot 10 minuten duurt.
- Tweede fase (NREM2): Onze spieren ontspannen, onze lichaamstemperatuur neemt af en onze hartslag wordt lager. Gedurende deze fase maakt ons lichaam zich klaar voor de diepe slaap.
- Derde en vierde fase (NREM3/4): Ons lichaam zit in de fase van diepe slaap. Dit is precies de tijd waarin alle herstelprocessen plaatsvinden – herstel van beschadigd weefsel, ontwikkeling van spiermassa, etc.
- Vijfde fase (REM): REM (Rapid Eye Movement) slaap. Gedurende deze fase van slaap dromen we het meest actief, zijn onze spieren verlamd en neemt de ademfrequentie toe. De eerste REM fase duurt ongeveer 10 minuten, waarbij hij elke cyclus steeds langer duurt. In alle fasen is er sprake van dromen, echter tijdens de REM slaap zijn deze dromen levendiger.

REM slaap
Je REM slaapfasen duren langer naarmate de nacht vordert en op z'n langst ongeveer 20 minuten. Daarom herinner je je meestal alleen de dromen die je het laatst gehad hebt, aan het eind van de nacht. Als je 's nachts wakker wordt, is het ook vaak tijdens de REM slaap, omdat het een lichte slaap is. Dromen zijn dan ook wat complexer.
Volwassenen brengen ongeveer 20% van hun slaap door in REM slaap en pasgeborenen wel 50%!
REM slaap speelt een belangrijke rol in de ontwikkeling van de hersenen. Tijdens REM slaap wordt informatie verwerkt en mogelijk worden kortetermijnherinneringen dan opgeslagen in je langetermijngeheugen, maar diepe slaap speelt daar ook een rol in.
Kenmerken
De hersenen zijn zeer actief en er zijn verticale en horizontale oogbewegingen. Je spieren zijn volledig 'verlamd' (spieratonie), behalve je oog- en ademhalingsspieren: Beweging wordt actief geblokkeerd, zodat je je dromen niet gaat 'uitbeelden' (op enkele 'twitches' in handen/voeten na). Slaapwandelen gebeurt ook meestal in non-REM slaap.
Je hartslag en bloeddruk zijn ook wat hoger.
Diepe slaap (NREM3/4)
Tijdens diepe slaap oftewel slow-wave-sleep vertoont de hersenactiviteit zeer trage golven. Het eerste deel van de golf is een periode waarin de zenuwcellen in de neocortex stil zijn en kunnen rusten. Ook speelt diepe slaap een belangrijke rol in het geheugen.
Wanneer je in diepe slaap verkeert, is je spierspanning wat hoger, bewegen je ogen nauwelijks en is er geen genitale activiteit. Er pieken een aantal belangrijke hormonen zoals groeihormoon en prolactine voor het herstel van het lichaam. Herstel van spierschade en spiergroei vindt ook grotendeels plaats tijdens je diepe slaap. Je immuunsysteem is dan dus vrij actief. De zin 'slaap is het beste medicijn' komt niet helemaal uit de lucht vallen dus.
Er vindt ook regulatie van de geslachtshormonen plaats en je circadiaans ritme wordt gereset voor een nieuwe dag.
Brain washing
Een nieuwe studie onder leiding van wetenschappers van de Boston University heeft ontdekt dat de hersengolven die worden gegenereerd vlak voordat je een diepe slaapfase in gaat, een 'reinigingsvloeistof' activeren. Deze vloeistof beschermt onze hersenen tegen gifstoffen geassocieerd met ziekten zoals de ziekte van Alzheimer.
Daarnaast krimpen je hersenen gepulseerd een beetje in volume doordat er wat minder bloed in wordt gepompt, zodat de ruimtes tussen je hersenen groter worden en er makkelijker vloeistof tussendoor kan. Dit uitrolbare 'riool' noemen we het glymfatisch systeem.

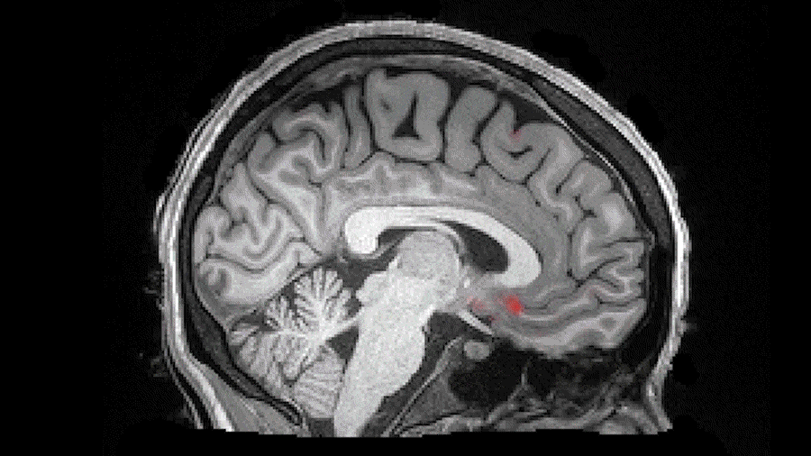
Tijdens diepe slaap, vallen golven van hersenvocht (blauw) samen met tijdelijke afname van de bloedstroom (rood). Minder bloed in de hersenen betekent meer ruimte voor de vloeistof om gifstoffen weg te voeren .Credits: Fultz et al. 2019
De opgestapelde gifstoffen en adenosine worden weggewassen. Letterlijk brainwashing dus.
Extra functie: energiebesparing
's Nachts op een warme plek fysiek inactief zijn, is een efficiënte manier om energie te besparen. Duizenden jaren geleden was er toch niet veel te doen 's nachts. Winterslaap is een perfect voorbeeld: Er is toch nergens voedsel te vinden en het is koud en donker, dus dan kun je net zo goed slapen.
Slapen is dus ook een vorm van energiebehoud.